Em caso raríssimo, bebê fura útero da mãe e coloca as pernas para fora
Pesquisadores divulgaram caso raríssimo de bebê que perfurou a útero da mãe durante o desenvolvimento e esticou as pernas em sua cavidade abdominal

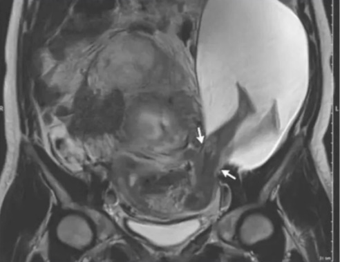
Um estudo publicado pelo The New England Journal of Medicine revelou um caso raríssimo em que um bebê prematuro perfurou a útero da mãe durante o desenvolvimento e colocou as pernas em sua cavidade abdominal.
O natural nos mamíferos é que os embriões cresçam no interior do útero conforme ele se expande e não ultrapassem esse ‘limite natural’. Entretanto, na França, uma mãe de 33 anos realizava um exame de rotina de ultrassom quando os médicos observaram o incomum caso.
O bebê, então com aproximadamente 25 semanas, rompeu a parede uterina e esticou as pernas na cavidade abdominal da mãe. Ela, segundo a publicação, não relatava qualquer sintoma de dor ou estranheza.
Uma ressonância magnética indicou que o ‘buraco’ no útero era de 2,5 centímetros.
De acordo com os pesquisadores, a ruptura uterina é “extremamente rara” e que somente 0,5% de todos os casos de gravidez relatem essa anormalidade. O risco é elevadíssimo, tanto para a mãe quanto para o bebê, visto a proximidade em que o feto fica dos órgãos vitais do organismo que o mantém.
Leia também:
Consumo excessivo de fast food dificulta gravidez, diz pesquisa
7 problemas de saúde que dificultam a gravidez
A suspeita dos médicos é que a mãe possa ter apresentado um enfraquecimento do tecido do útero uma vez que já foi submetida a outras cinco cirurgias cesarianas.
Após 5 semanas do diagnóstico, a mãe passou por outra cirurgia cesariana para retirar o bebê ‘intrometido’.
Saudável, o recém-nascido pesava 1,4 kg e não apresentou quaisquer complicações nos seis meses seguintes de acompanhamento pelos médicos. Após a cesária, a mãe foi submetida a outro procedimento para fechar a fissura no útero.
Ela teve alta do Hospital Universitário Angers 5 dias após o ocorrido.
Yahoo



